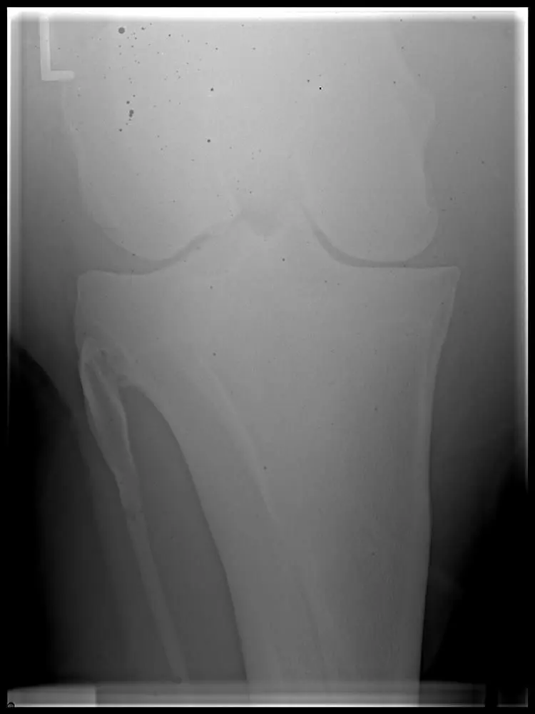
Digital X-Ray

. Greene, Lewis and Associates is pleased to announce their new, state-of-the-art IDEXX EquiView® Digital Radiography System. This system delivers extraordinary image sharpness to support a faster, more accurate diagnosis utilizing the most advanced digital radiological services in the industry.

The IDEXX EquiView® Digital Radiography System is the preferred method of equine digital radiology as it provides maximum detail, critical in detecting even the smallest of abnormalities.

Our private Imaging Consultation Area includes the digital radiography modality connected to a MDS work/reading station equipped with a Dell Precision processor, a 19″ wide aspect high definition monitor and an expanded Asteris PACS archiving system. This is where radiographic manipulations are performed and stored. The images are then viewed on our wall-mounted Dell 30″ color widescreen monitor that allows review of multiple radiographs simultaneously.

Gastroscopy and Upper Respiratory

More information coming soon.


Location

Find us on the map

Office Hours

Equine Emergency Hours of M-F 7AM-7PM, Saturday 8AM-2PM, Sunday 8AM-Noon

Covington Office

Monday:

7:00 am-4:00 pm

Tuesday:

7:00 am-4:00 pm

Wednesday:

7:00 am-4:00 pm

Thursday:

7:00 am-4:00 pm

Friday:

7:00 am-4:00 pm

Saturday:

8:00 am-12:00 pm

Sunday:

Closed

Testimonials

Reviews By Our Satisfied Patients

  • "Love, Love, Love!! Everyone there is super nice and very helpful. Very reasonably priced and take great care of my goats."
    Emma S.
  • "Friendly people, reasonable prices, good medical care for my horse. Accepted phoned in pictures in advance for quick assessment."
    Tom S.
  • "I called the answering service around 1 am . A very nice lady answered my panic call. Small pygmy goat with a large breech baby. Matt responded to my call right away. Everyone is so kind and knowledgeable.
    Thank you Matt and staff for all your help. Job well done.... We also use these guys for our horse. I wish I could give you more the 5 stars....."
    Darla S.
  • "Will help any way possible and frindley"
    David M.